• 百欧博伟细胞系MDA-MB-231 紫杉醇耐药

    详细信息

     品牌:百欧博伟生物  型号:bio-106025  加工定制:否  
     规格:1×10⁶cells/T25培养瓶    
      一、产品信息:

      1.平台编号:bio-106025

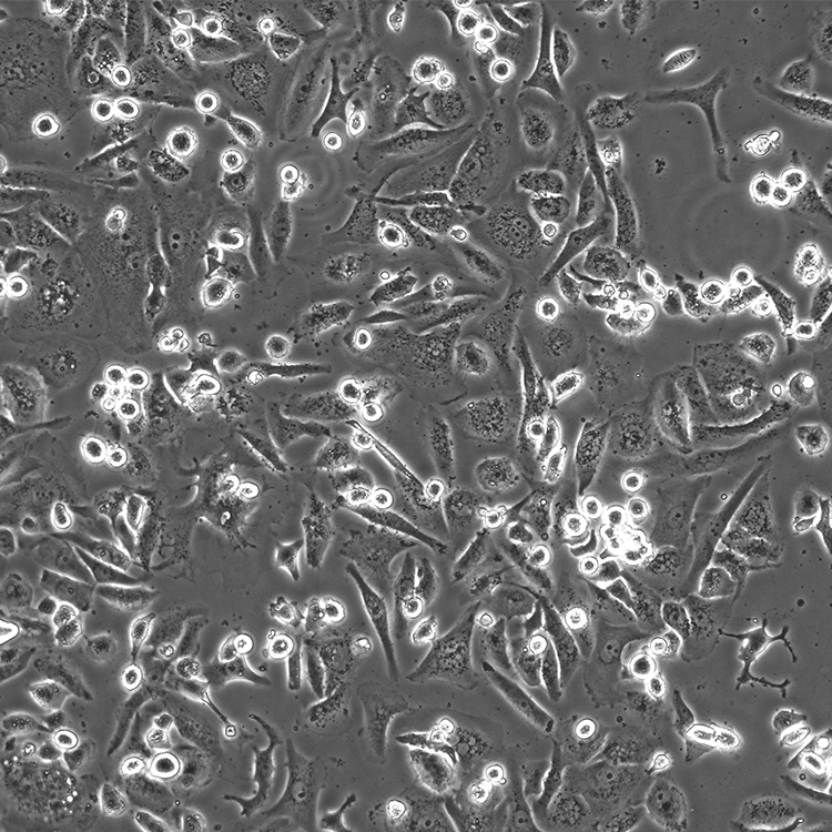
      2.细胞名称:MDA-MB-231/PTX人乳腺癌紫杉醇耐药细胞

      3.物种:人

      4.组织:乳腺癌

      5.细胞形态:上皮细胞样,贴壁生长

      二、培养方式:

      1.培养基:MDA-MB-231/PTX专用培养基【L15培养基;优质胎牛血清,10%;双抗,1%】

      2.培养环境:37℃、气相:空气,100%

      3.传代培养:当细胞密度达到80%以上时,可以进行传代,传代比例1:2~1:4,1~2天传代一次。

      (1)用巴氏滴管吸出细胞培养瓶内的培养基;

      (2)加入1ml的PBS,轻轻晃动润洗细胞,然后将PBS吸出;

      (3)加入1ml的胰酶,轻轻晃动浸润细胞,然后放在培养箱内消化2~3分钟(难消化的细胞可以适当延长消化时间);

      (4)在显微镜下观察,发现细胞变圆,轻轻晃动细胞便开始脱落,这时可以终止消化;

      (5)加入4ml含血清的完全培养基,用移液器吹打细胞,使细胞脱落并形成单细胞悬液;

      (6)将细胞悬液转移到15ml的离心管,1000rpm离心5min;

      (7)离心完成后吸出上清丢弃,再用移液管取10ml完全培养基将细胞重悬,轻轻吹打混匀;

      (8)将细胞悬液分装到两个新的T25细胞培养瓶中,该细胞培养不能通入CO2,如果没有条件准备空气气相100%的培养箱的,可以采用不透气密封盖的T25培养瓶来培养,培养过程中每天将细胞拿出培养箱换1-2次空气。

      4.细胞冻存:使用本公司无血清冻存液可直接将细胞冻存在-80℃(无需使用程序降温盒),细胞在-80℃可保存3年,长期保存建议使用液氮罐。

      5.冷冻复苏细胞:将含有1mL细胞冻存管在37℃水浴中迅速摇晃解冻,加入5mL培养基混合均匀。在1000RPM条件下离心5分钟,弃去上清液,补加4-6mL完全培养基后吹匀。然后将所有细胞悬液加入培养瓶中培养过夜(或将细胞悬液加入6cm皿中),培养过夜。第二天换液并检查细胞密度。

      三、质量检测:

      1.STR鉴定:正确

      2.细菌检测:阴性

      3.支原体检测:阴性

      四、售后服务:

      1.收到细胞后请及时查看瓶身有无破损,是否漏液等现象;

      2.用75%的酒精喷洒培养瓶之后,放在培养箱中静置2-4小时以稳定细胞状态,然后用显微镜观察细胞状态并拍照记录,40倍和100倍照片各一张(细胞在运输过程中存在少量的漂浮或者死亡属于正常现象);

      3.原瓶中的培养基不可以继续使用,请配制新的完全培养基或者购买本公司的专用培养基;

      4.建议定期对细胞进行拍照记录;收到细胞后7天内,对细胞生长状态有任何问题,可申请售后。

      5.强烈建议:在第1次细胞传代时,使用本公司配置的细胞培养基将细胞按照1:2进行传代,可以对比测试自配的培养基是否可以养好细胞。如果有以上任何问题,请及时联系本公司。

      五、注意事项:

      1.本产品仅限于科研用途,若用于临床诊断、治疗等其它用途,本公司概不负责!

      2.若使用本产品发表科学论文,请标注:MDA-MB-231/PTX人乳腺癌紫杉醇耐药细胞由北京百欧博伟生物技术有限公司(BIOBW)提供。

      北京百欧博伟生物技术有限公司拥有Biolog微生物鉴定系统,超低温冰箱,生物安全柜等仪器设备可进行对微生物分离、鉴定等常规的分子实验研究。对我国生命科学研究、生物技术创新和产业发展的需求进行积极的面对社会乃至国外收集保藏提供微生物菌种资源。在保证生物安全和保护知识产权的前提下,为工农业生产、卫生健康、环境保护、科研教育提供微生物物种资源、基因资源、信息资源和专,业技术服务。

      除此之外,我们还拥有对菌种、细胞、培养基、配套试剂等产品需求者的极优质服务,对购买项目的前期资料提供,中期合同保证,后期货物跟踪到*终售后的确保项目准确到位,都有相关人士进行维护,确保您在微生物菌种查询网中获得*优质服务!也正因为此,北京百欧博伟生物技术有限公司与国内外多家研制单位、生物制药、第三方检测机构和科研院所院校、化工企业有着良好、长期和稳定的合作关系!
  • 留言

    *详细需求:
    *手  机:
    联 系 人:
    电    话:
    E-mail:
    公  司:
    谷瀑服务条款》《隐私政策
  • 供应商的其他相关信息

    查看更多
内容声明:谷瀑为第三方平台及互联网信息服务提供者,谷瀑(含网站、客户端等)所展示的商品/服务的标题、价格、详情等信息内容系由店铺经营者发布,其真实性、准确性和合法性均由店铺经营者负责。谷瀑提醒您购买商品/服务前注意谨慎核实,如您对商品/服务的标题、价格、详情等任何信息有任何疑问的,请在购买前通过谷瀑与店铺经营者沟通确认;谷瀑上存在海量店铺,如您发现店铺内有任何违法/侵权信息,请在谷瀑首页底栏投诉通道进行投诉。